Un ver mort découvert dans le cerveau d’un homme (Photo)
Publié : 19 novembre 2021 à 20h08 par Aurélie Amacin
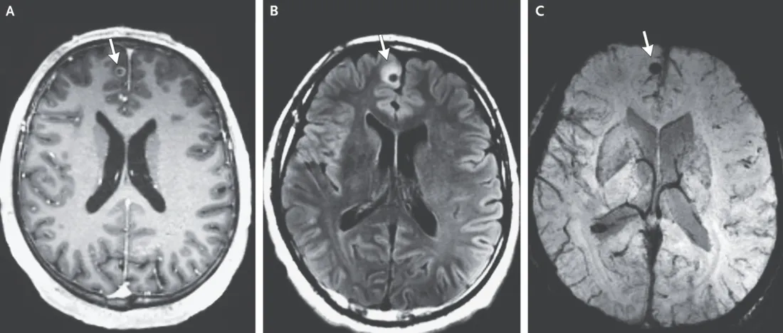
/t:app(web)/medias/Vsj0LZpM34/image/Capture d’écran 2021-11-19 à 19.58.521637348393532.png)
Victime de soucis de santé importants depuis une vingtaine d’années, un homme vivait en réalité avec un ver dans le cerveau. Explications.
Le mystère est enfin résolu. Depuis une vingtaine d’années, un homme de 38 ans souffre de crises d’épilepsie à répétition. Il y a quelques jours, son épouse le retrouve inconscient, en pleine nuit, après une violente crise. Le mari est aussitôt transporté en urgence au Massachusetts General Hospital de Boston (Etats-Unis) où toute une série de tests est réalisée. L’homme semble en bonne santé, sans aucun antécédent médical particulier. Les médecins demeurent toutefois sceptiques quant aux résultats d’analyses et prescrivent un nouveau scanner de la tête…
UN DIAGNOSTIC QUI DONNE DES FRISSONS
Peu de temps après, le bon diagnostic tombe enfin. De nombreuses lésions cérébrales sont observées sur l’imagerie et les spécialistes aperçoivent la trace d’« un compagnon indésirable » dans le cerveau du patient : un ténia mort. Le ver solitaire a, en effet, migré dans sa tête, quelques années plus tôt, et a provoqué des kystes larvaires dans différentes parties du cerveau, explique la revue New England Journal of Medecine. On parle alors de neurocysticercose.
UN PARASITE PRÉSENT DANS LA NOURRITURE
Selon plusieurs spécialistes, l’homme, qui a vécu au Guatemala avant d’émigrer vers les Etats-Unis, aurait probablement consommé un plat infecté par un ténia, car de nombreux parasites similaires existent en Amérique latine. « Ce monsieur est un cas atypique, mais pas si rare au final, car le parasite était mort depuis une ou deux décennies. L’infection avait disparu, mais une partie de son cerveau n’avait pas complètement cicatrisé, ce qui provoquait les crises », détaille le Dr. Edward T. Ryan, directeur des maladies infectieuses et co-auteur d’une étude, au Washington Post. Aujourd’hui, l’homme est sorti de l’hôpital et doit suivre un traitement strict pour combattre l’infection.
His sudden seizures were a mystery. Then doctors saw a tapeworm in his brain from 20 years ago. https://t.co/CbOUpByr6w
— The Washington Post (@washingtonpost) November 16, 2021
/filters:quality(100)/t:app(web)/radios/forum/images/logo_WET8DEz3iz.png)
/t:app(web)/medias/Vsj0LZpM34/image/angiola_harry_nJv6xnlpNaA_unsplash1761051926200-format16by9.jpg)
/t:app(web)/medias/Vsj0LZpM34/image/stephanie_rist_qui_est_la_nouvelle_ministre_de_la_sante_des_familles_de_l_autonomie_et_des_personnes_handicapees1760714838167-format16by9.jpg)
/t:app(web)/medias/Vsj0LZpM34/image/5_conseils_pour_une_pause_efficace_au_travail_jpg1760626350512-format16by9.webp)
/t:app(web)/medias/Vsj0LZpM34/image/Design_sans_titre1760022986063-format16by9.png)
/t:app(web)/medias/Vsj0LZpM34/image/Asterix_Baracaldo_cropped1761220482646-format16by9.jpg)
/t:app(web)/medias/Vsj0LZpM34/image/squeezie1649403973988-format16by9.jpeg)
/t:app(web)/medias/Vsj0LZpM34/image/21358_jpeg-format16by9.jpeg)
/t:app(web)/medias/Vsj0LZpM34/image/ERICANTOINE_BOBLEPONGE1758197202537-format16by9.jpg)